立陶宛 Viktorija Auzbikaviciute 和 Algirdas Puisys 的临床病例报告

维克托里娅·奥兹比卡维西尤特

阿尔吉尔达斯·普伊斯
如今,在美观区和前磨牙区立即植入种植体遵循严格的手术方案,基于正确的三维位置、初步稳定性以及软硬组织管理。然而,后牙区即刻种植体仍有多种治疗方法。尽管对美观的影响较小,但后牙区拔牙、保留根间隔、钻孔和种植体植入的手术难度较高。在此临床案例中,我们报告了使用 Straumann® BLX 种植系统的工作流程以及使用富含血小板纤维蛋白 (PRF) 和同种异体骨移植的牙槽嵴保存。
初始情况
一位40多岁的患者来我们诊所接受康复治疗。她的主要抱怨是不美观。她表现出良好的口腔和全身健康状况;没有发现可能影响治疗的重大健康问题。
程序 治疗计划:
患者的个人治疗计划包括专业口腔卫生、治疗和牙髓治疗、手术和最终修复体安装。在按照一般治疗方案进行治疗时,发现#36牙在复合修复体下出现继发龋(图1)。在远端邻间区域观察到深层龈下破坏(图2)。由于分叉暴露,牙冠延长手术很困难;因此,假牙冠不是这颗牙齿的推荐治疗选择。根据所有信息,牙科团队决定拔出#36 并立即进行种植体植入。
手术过程
#36 牙的手术过程从局部麻醉和下牙槽神经阻滞开始。通过分割磨牙根实现无翻瓣反射的无创拔牙;从而保留肺泡壁和根间隔膜(图3-4)。仔细清洁牙槽,形成种植体路径并放置Straumann ® BLX 种植体 5.5 x 8 mm (图 5-7)。为了促进非浸没式愈合,将标准愈合基台连接至种植体。骨壁和种植体之间的间隙填充有同种异体骨材料颗粒(maxgraft®,botiss 生物材料,德国)。应用富含血小板的纤维蛋白(PRF)来实现适当的初步愈合。调整软组织边缘并用聚丙烯 6/0 缝合,使愈合基台暴露(图 8-9)。将粘性牙周Reso-Pac ®敷料(来自德国杜伊斯堡的Hager & Werken)放置在治疗区域上以协助愈合过程(图10)。






图6
假肢手术
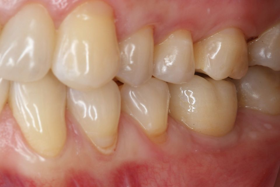
手术后一周,拆线(图11-12)。在同一次就诊时,拍摄了垂直牙科射线照片(图 13),显示种植体处于正确的修复位置。四个月后,愈合基台被移除。粘膜外观表明植入物周围有稳定且健康的软组织,具有足够的生物宽度和光滑的出现轮廓(图14-15)。取印模,一个月后,将最终的氧化锆陶瓷牙冠拧到种植体上(图 16-18)。







治疗结果
#36牙的治疗非常成功,没有出现任何并发症。患者对功能和美观感到满意。她被告知种植体周围应保持适当的个人卫生,以及每 6 个月进行一次检查和专业口腔卫生的必要性。
Straumann® BLX 种植体系统 – 即刻修复中的新多功能性和易用性
(制造商信息)为即时治疗方案提供最通用且最易于使用的所有可用种植体 - 这就是 Straumann 的新型 BLX 系统的目标。开发过程中考虑了过去十年中全锥形种植体的所有临床经验,当然还有士卓曼自己的根尖锥形 BLT 种植体。为了在单一产品中结合典型即刻修复手术的高效性和在不太理想情况下的异常宽容特性,士卓曼寻求实现的不仅仅是新型全锥形种植体的设计。 BLX 概念依赖于一组独特且全新的钻头 (Velodrill™) 的组合,可防止骨骼过热,以及特定的种植体形状,可在软骨中实现较高的初级稳定性,但不会过度压缩皮质区域。所有 BLX 尺寸均具有相同的假体连接,并且 3.75 毫米的直径已适用于所有适应症。其结果是下一代种植体系统,旨在为立即修复和所有其他治疗方案提供新的信心,以满足牙医的偏好。它还可以使用更小的植入物。此外,由此产生的简化工作流程也意味着更短的主席时间。 Straumann BLX 已经获得了非常积极的结果和反馈,将高度创新的初级稳定性设计与其高性能 Roxolid 金属合金和 SLActive 表面相结合。因此,新的 BLX 将为即时协议带来多功能性和易用性。所有 BLX 尺寸均具有相同的假体连接,并且 3.75 毫米的直径已适用于所有适应症。其结果是下一代种植体系统,旨在为立即修复和所有其他治疗方案提供新的信心,以满足牙医的偏好。它还可以使用更小的植入物。此外,由此产生的简化工作流程也意味着更短的主席时间。 Straumann BLX 已经获得了非常积极的结果和反馈,将高度创新的初级稳定性设计与其高性能 Roxolid 金属合金和 SLActive 表面相结合。因此,新的 BLX 将为即时协议带来多功能性和易用性。所有 BLX 尺寸均具有相同的假体连接,并且 3.75 毫米的直径已适用于所有适应症。其结果是下一代种植体系统,旨在为立即修复和所有其他治疗方案提供新的信心,以满足牙医的偏好。它还可以使用更小的植入物。此外,由此产生的简化工作流程也意味着更短的主席时间。 Straumann BLX 已经获得了非常积极的结果和反馈,将高度创新的初级稳定性设计与其高性能 Roxolid 金属合金和 SLActive 表面相结合。因此,新的 BLX 将为即时协议带来多功能性和易用性。其结果是下一代种植体系统,旨在为立即修复和所有其他治疗方案提供新的信心,以满足牙医的偏好。它还可以使用更小的植入物。此外,由此产生的简化工作流程也意味着更短的主席时间。 Straumann BLX 已经获得了非常积极的结果和反馈,将高度创新的初级稳定性设计与其高性能 Roxolid 金属合金和 SLActive 表面相结合。因此,新的 BLX 将为即时协议带来多功能性和易用性。其结果是下一代种植体系统的诞生,旨在为立即修复和所有其他治疗方案提供新的信心,以满足牙医的偏好。它还可以使用更小的植入物。此外,由此产生的简化工作流程也意味着更短的主席时间。 Straumann BLX 已经获得了非常积极的结果和反馈,将高度创新的初级稳定性设计与其高性能 Roxolid 金属合金和 SLActive 表面相结合。因此,新的 BLX 将为即时协议带来多功能性和易用性。由此产生的简化工作流程意味着更短的主席时间。 Straumann BLX 已经获得了非常积极的结果和反馈,将高度创新的初级稳定性设计与其高性能 Roxolid 金属合金和 SLActive 表面相结合。因此,新的 BLX 将为即时协议带来多功能性和易用性。由此产生的简化工作流程意味着更短的主席时间。 Straumann BLX 已经获得了非常积极的结果和反馈,将高度创新的初级稳定性设计与其高性能 Roxolid 金属合金和 SLActive 表面相结合。因此,新的 BLX 将为即时协议带来多功能性和易用性。